Cirurgiã-dentista apaixonada por cuidar de pessoas por meio do sorriso. Acredito que a odontologia vai muito além de procedimentos técnicos, ela envolve escuta, empatia e um atendimento verdadeiramente humanizado.

+2 anos
Transformando sorrisos
Quer saber qual tratamento é ideal para você?
Cada transformação começa com uma conversa. Veja resultados reais de quem confiou no meu cuidado.
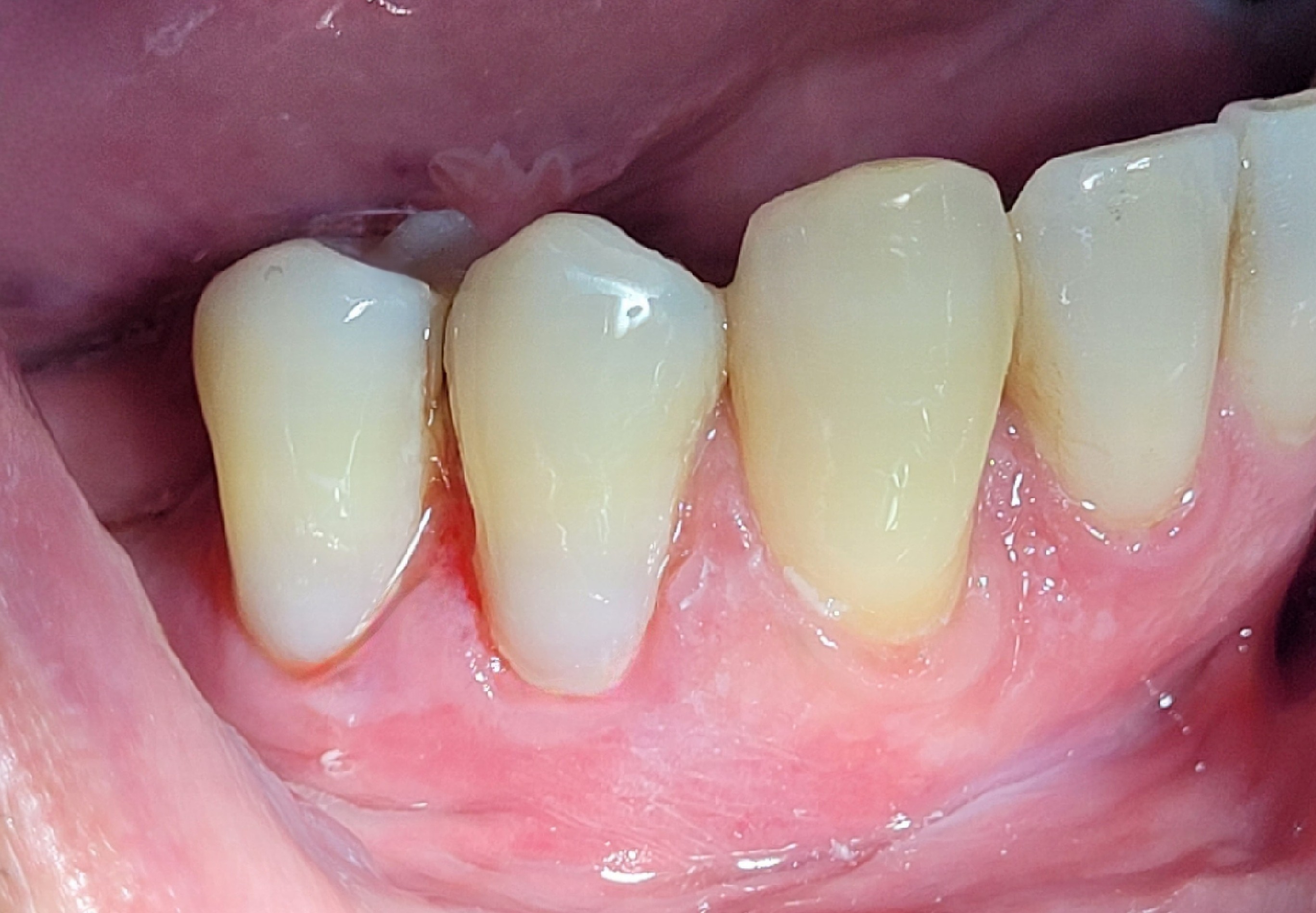
Resultado após 4 sessões
Devolução da forma e estética natural
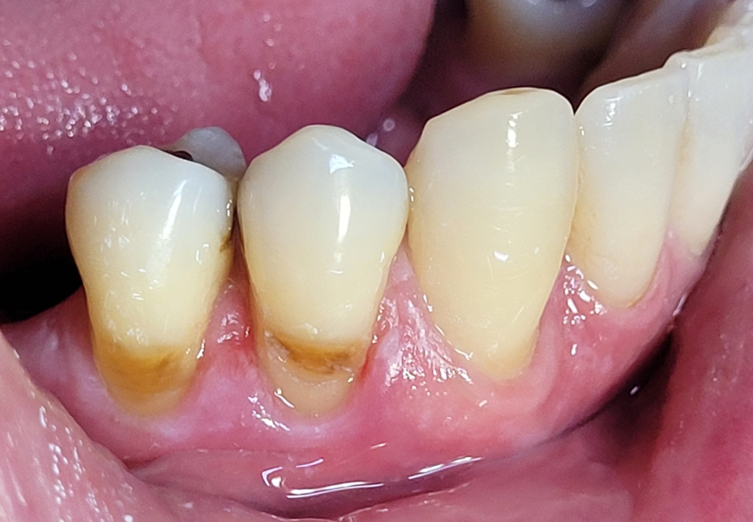
Devolução de função e estética
Sei que ir ao dentista pode gerar ansiedade. Por isso, procuro tornar meu ambiente de trabalho um refúgio de tranquilidade. Aromaterapia, música ambiente relaxante e equipamentos modernos que garantem uma experiência livre de estresse.
R. Dr. Célio de Oliveira Andrade, 54 - Cidade Foch, Pouso Alegre - MG, 37558-314, Brasil

Quer um resultado assim? Agende sua avaliação




“Muito atenciosa em seus atendimentos, excelente trabalho! E o melhor, as músicas de fundo que deixa o paciente mais tranquilo na hora do atendimento.”
“Ótima profissional trabalho excelente”
“Sou Fabiano e, por motivos pessoais, sou muito medroso em relação a ir ao dentista. Esta clínica, além de ter excelentes profissionais, tem uma dentista senhora Mikaelly que parece um anjo, tanto na competência quanto no profissionalismo e na empatia ao cuidar de quem precisa ser cuidado.”
“Fui muito bem atendido pela Dra., procedimento de limpeza e restauração ocorreu super bem, estou feliz com o resultado e com o sorriso renovado”
“Melhor dentista do mundo!! Talentosa, empática, higiênica, profissional de milhões!”
“Fiz um tratamento de limpeza + clareamento com a Dra. Mikaelly. Profissional extremamente cuidadosa e atenciosa. Deixou meu sorriso impecável, deu instruções para continuar o tratamento e ainda ganhei uns mimos. Recomendo para todos, e com certeza voltarei assim que precisar novamente.”
“Profissional muito carismática e competente. Minha família amou tratar com ela.”
“Eu queria meus dentes brancos para minha formatura e fiz os clareamentos de consultório e caseiro. O resultado superou minhas expectativas! Sai ótimo nas fotos e todos elogiaram meu sorriso.”
O primeiro passo é uma conversa. Agende sua avaliação e descubra o que a odontologia estética pode fazer por você.